Phone: (218) 732-4466  -  

314 Pleasant Ave S, Park Rapids, MN 56470

Pine Park Family Dentistry

Pine Park Family Dentistry Menu
  • Home
  • About
    • Case Studies
  • New Patients
  • Appointments
  • Services
  • Contact
    • Service Area

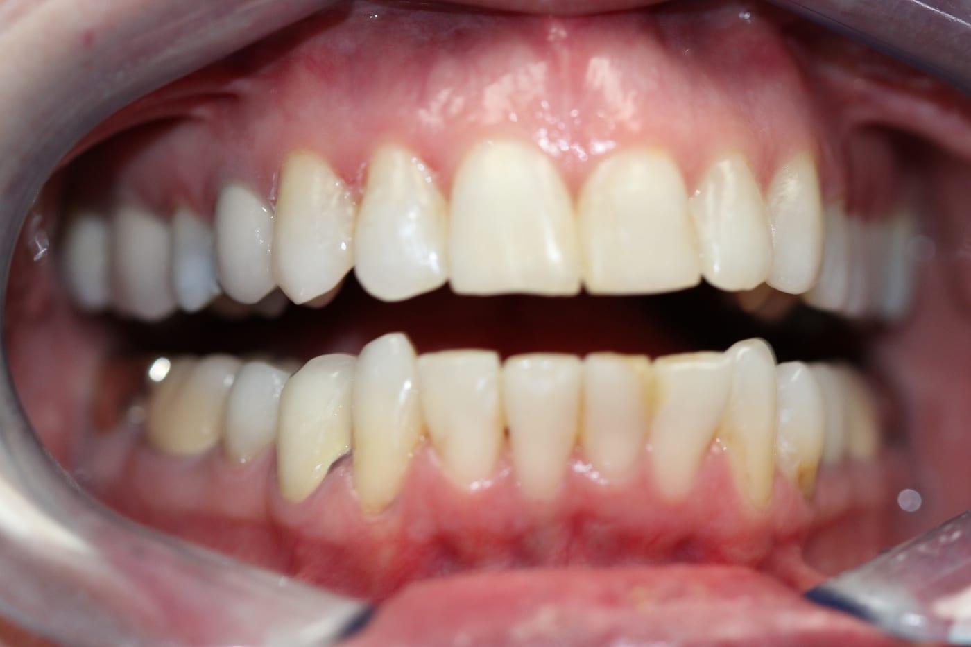
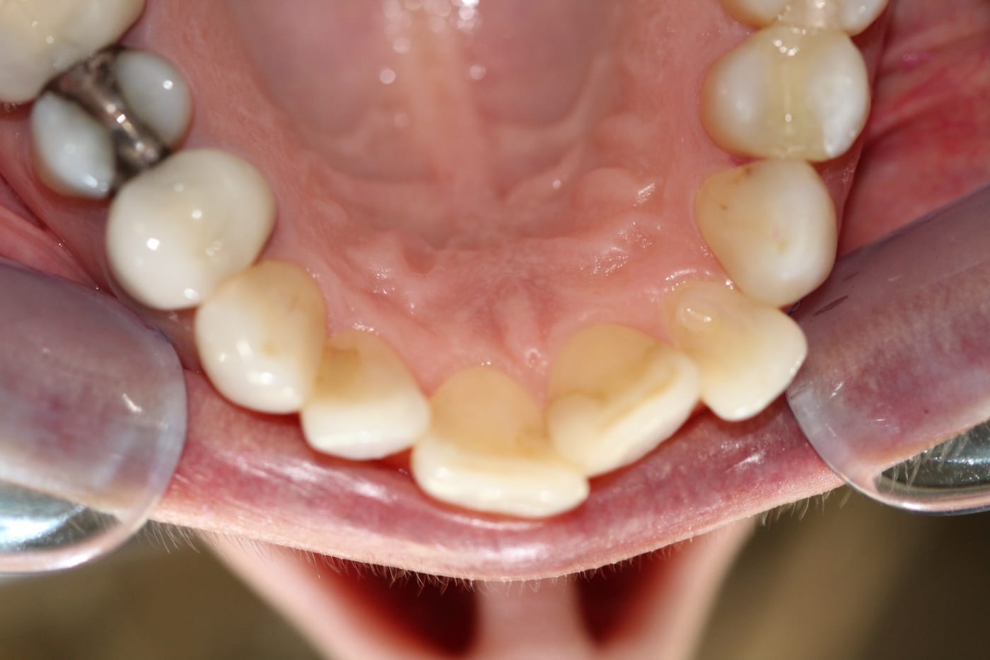
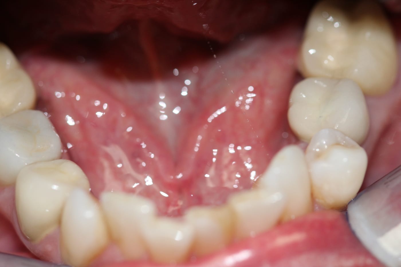
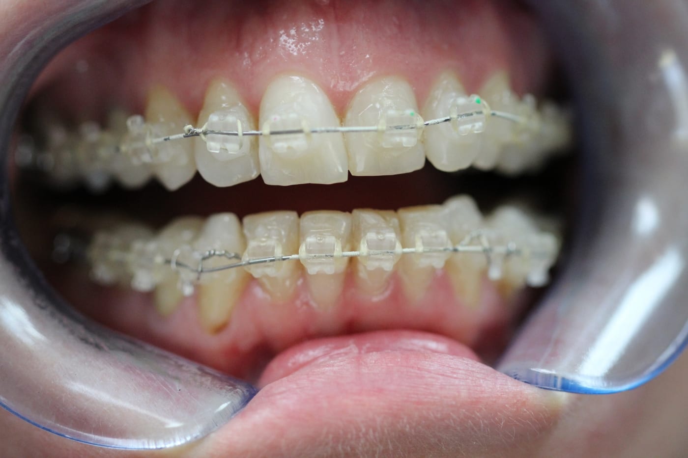
Case Studies

Contact
Us
(218) 732-4466

Contact Us

(218) 732-4466

314 Pleasant Ave S, Park Rapids, MN 56470

Send us an Email
Sitemap
Accessibility
Website by DOCTOR Multimedia
Accessibility Tools

Accessibility Tools

Increase TextIncrease Text
Decrease TextDecrease Text
GrayscaleGrayscale
Invert Colors
Links UnderlineUnderline Links
Highlight Links
Readable FontReadable Font
Reset
Call Us Text Us